google review
banner

Restoring Smiles with Smile makeover


Restoring Smiles with Smile makeover

Date :22/03/2020

 

A look in to the entire process of restoring smiles, FULL MOUTH REHABILITATION technique.

  

 restoring-smiles-with-smile-makeover

imageuploads/covered/2020/03/22/restoring-smiles-with-smile-makeover.jpg

restoring-smiles-with-smile-makeover

imageuploads/covered/2020/03/22/restoring-smiles-with-smile-makeover.jpg

imageuploads/covered/2020/03/22/imageuploadscovered20200322restoring-smiles-with-smile-makeoverjpg-0.jpg

imageuploads/covered/2020/03/22/imageuploadscovered20200322imageuploadscovered20200322restoring-smiles-with-smile-makeoverjpg-0jpg.jpg

Wax up

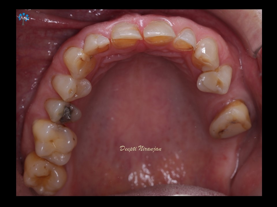
Teeth prepared for impression

imageuploads/covered/2020/03/22/teeth-prepared-for-impression.jpg

Crowns and veneers bonded

imageuploads/covered/2020/03/22/crowns-and-veneers-bonded.jpg

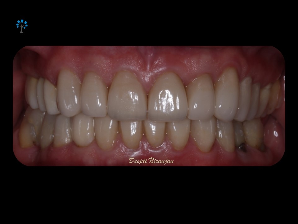
Final View

Smile view

Before and after smile view

imageuploads/covered/2020/03/22/before-and-after-smile-view.jpg

imageuploads/covered/2020/03/22/imageuploadscovered20200322before-and-after-smile-viewjpg.jpg

 

Watch the video here: https://youtu.be/1njJ3GDixLY 

 

A healthy smile, for a better life.

Dr.Deepti C Jain P MDS Prosthodontics

 

 

 

 

Enquiry

Testimonials

Before After Gallery

before and after image gallery

Video Gallery

video gallery

Video Testimonials

+91 9972046092