Mangement of decayed molar and premolar teeth.
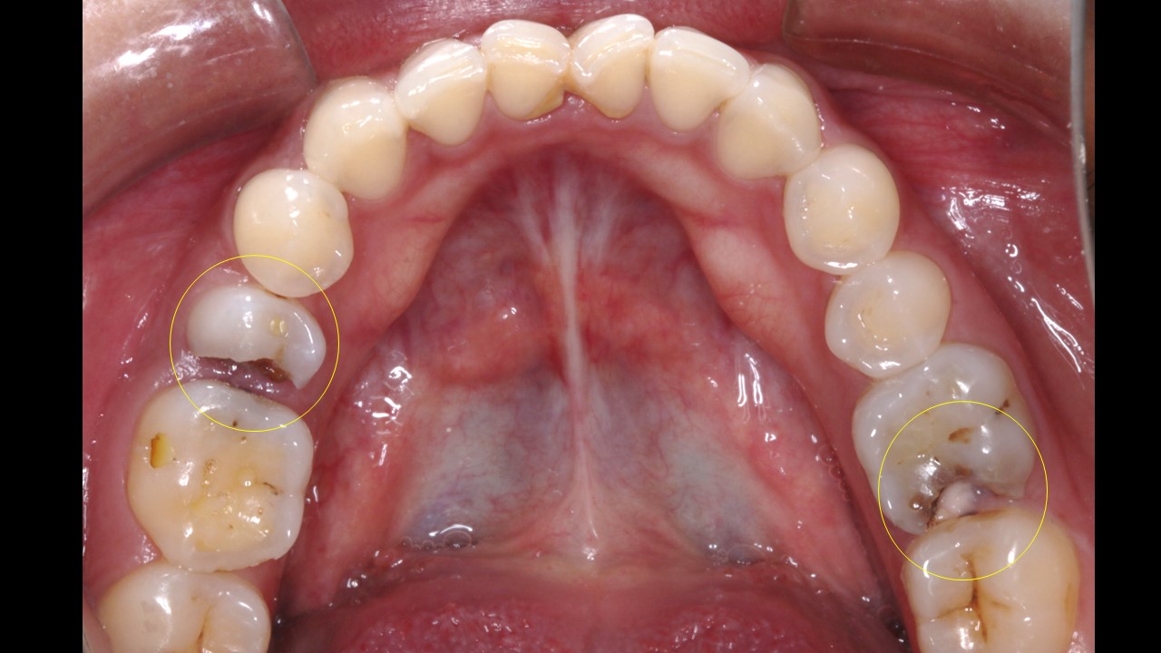
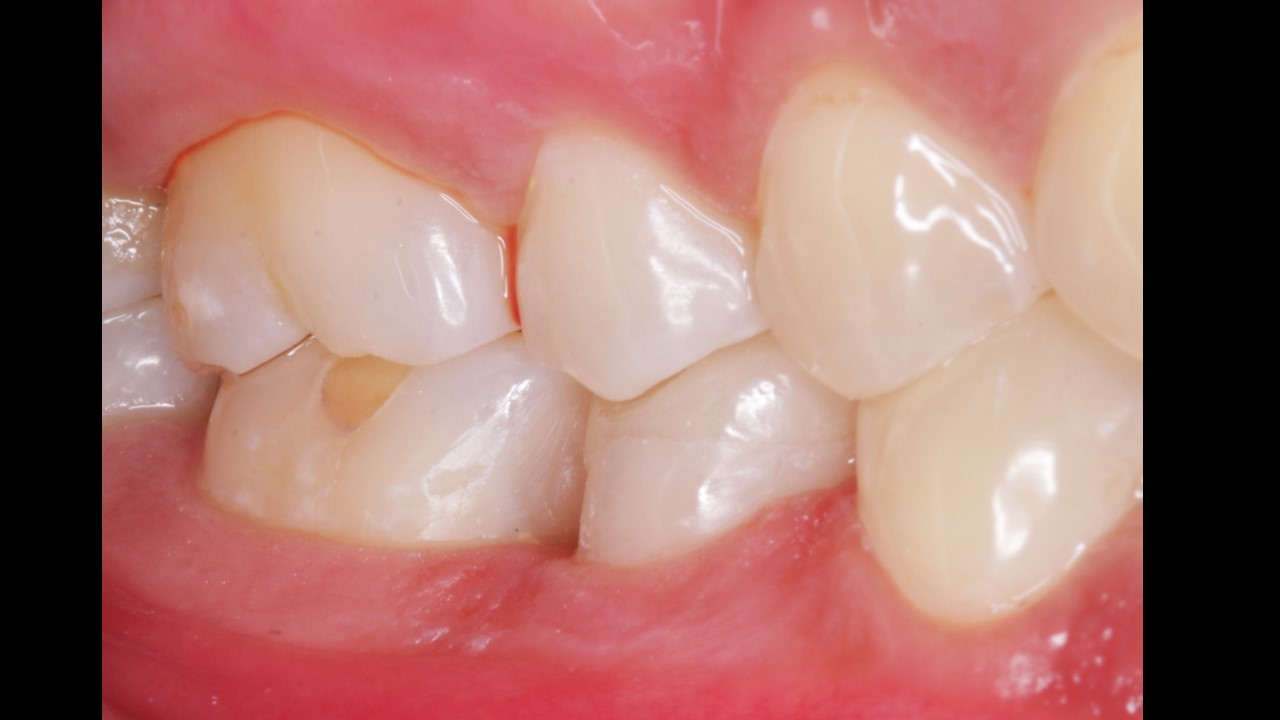
Patient presented with pain and discomfort in the lower right second premolar. Pain was of radiating type accompanied with food lodgement. On examination, the lower right 2nd premoalr was decayed with a portion of the distal surface lost due to the process of deacy. Examination alos revealed decay of the molar on the mesial side. Typical presentation that accompanies food lodgement and decay.
Incidentally the 1st molar on the left side was also decayed , with pulpal invovement requiring intervention.
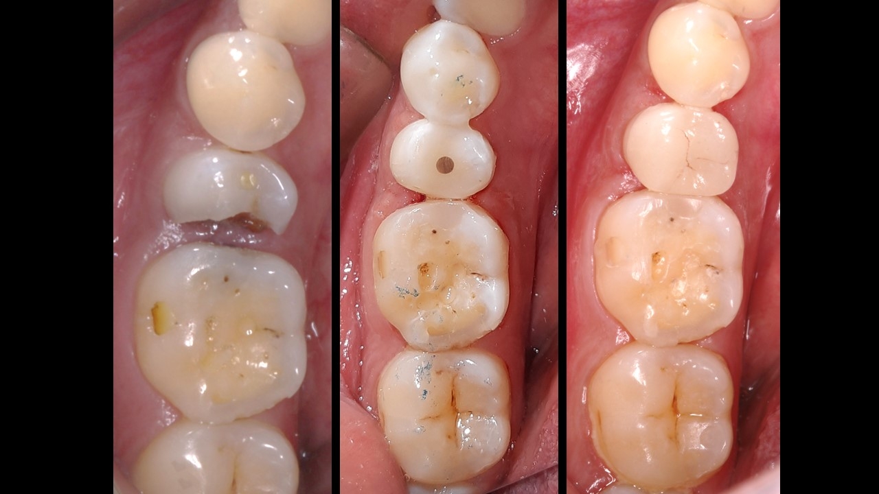
Treatment plan:
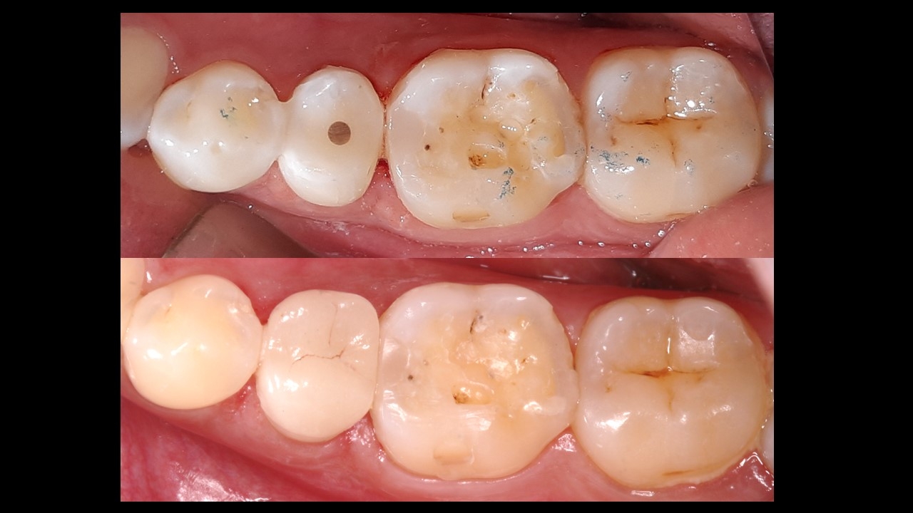
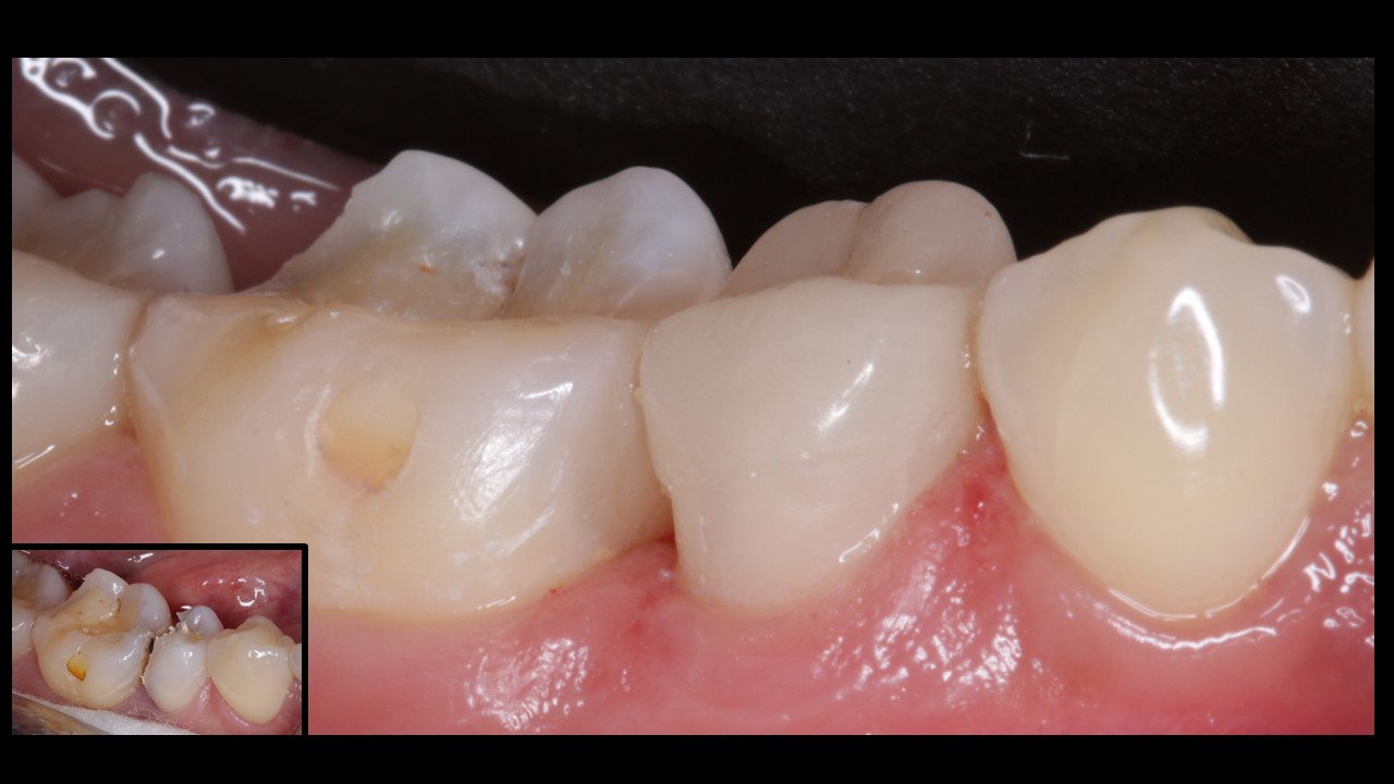
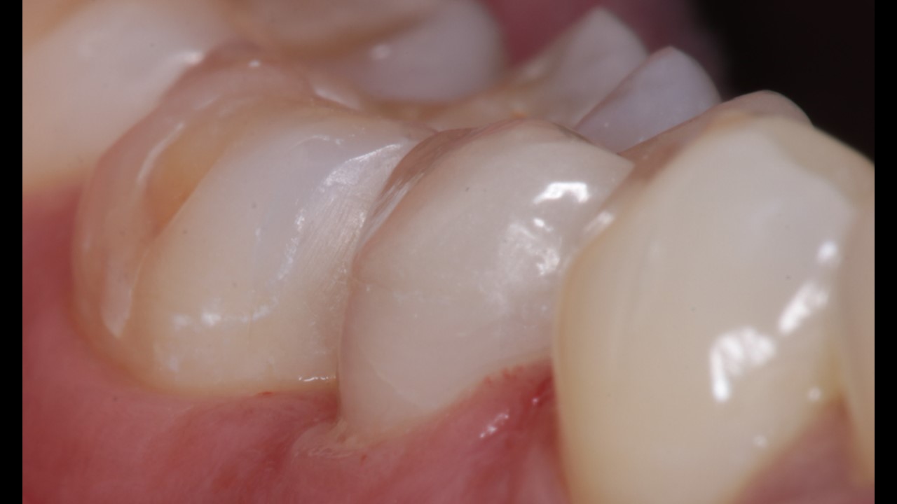
Root canal therapy (RCT)in lower right 2nd premolar and lower left 1st molar.
Filling in lower right 1st molar.
Post (fiber) and core , Emax onlay

















