An elderly patient reported with a dislodged gold crown.
Examination revealed fracture of the distal portion of the tooth (Fig 1,4).
Given the medical status of the patient and based on certain existing favorable anatomic features with diagnosis from the Intra oral xray (Fig 2), we decided to retain the tooth and restore it.
PREOPERATIVE VIEW

First step was to increase the existing crown length along with some amount of gingivectomy. LASER was employed to do a minimally invasive and Atraumatic procedure. We waited for a few days to allow adequate healing. (Fig 5)
Next step was to build a core structure (Fig 6 shows isolation), in order to place a crown or a cap.

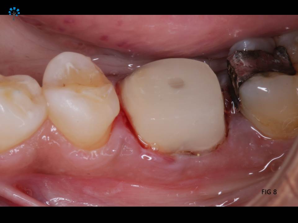
Fiber Post (IVOCLAR*) was placed and the core structure was built.(Fig 7 – 9)


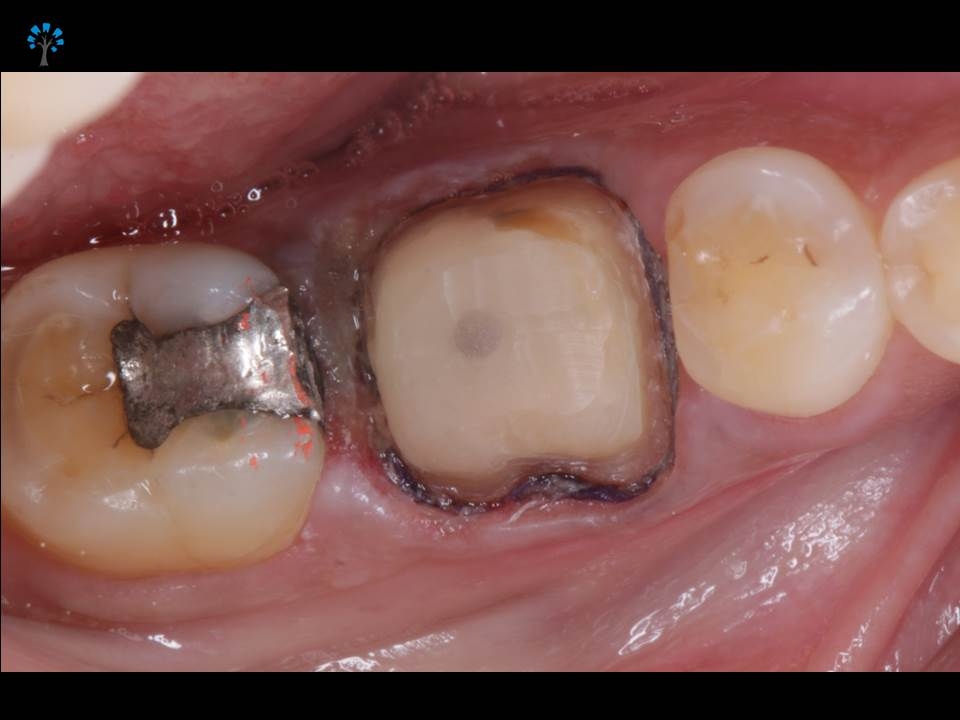
Crown Preparation was done and a digital scan (fig 11) for an impression was obtained.


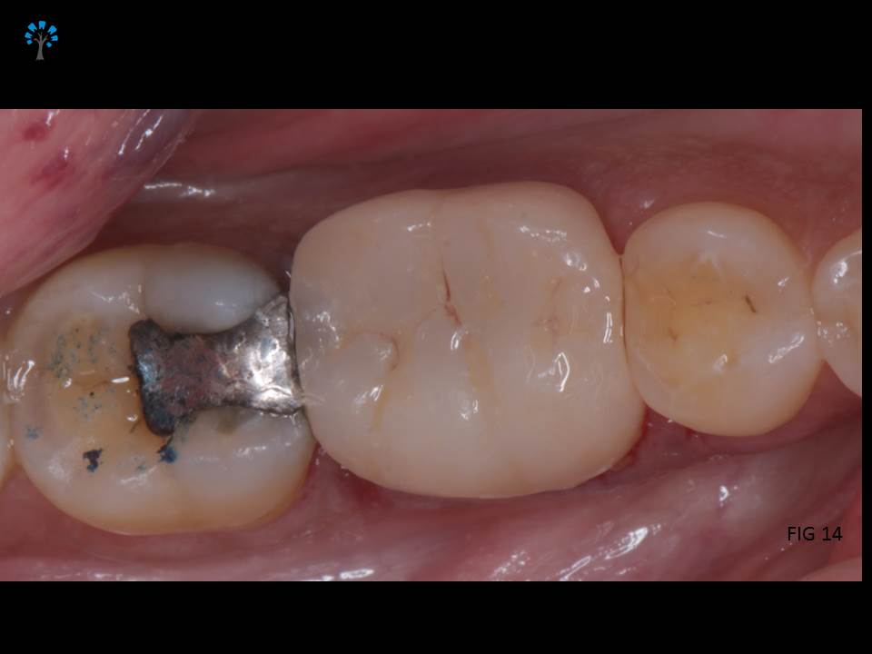
Monolithic EMAX crown was fabricated (KATARA DENTAL, PUNE) and bonded.(Fig 10 -12)

Preserving the natural teeth has unique benefits. And by using a bonded restoration we can add years to the life of the tooth.


Dr.Deepti C jain, Dr.Niranjan P