Braces off? What's next?
Date :22/03/2024







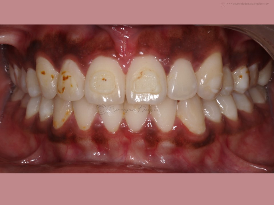
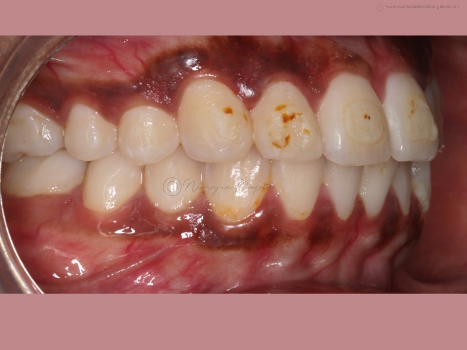
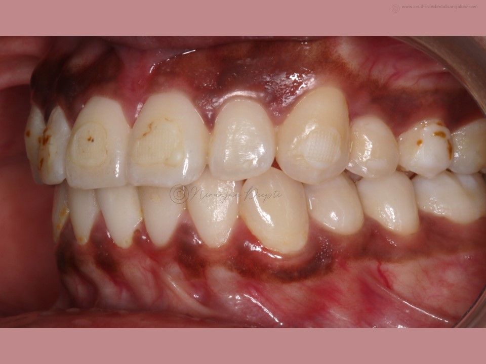
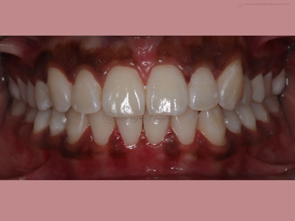
Polishing of teeth after the debonding of braces is a crucial step in the orthodontic treatment process.
This procedure ensures not only a pleasing aesthetic outcome but also promotes optimal oral health and prevents potential complications.
Here's why it's important and what the process entails, along with tips for long-term maintenance:
Importance:
- Smoother Surface: Braces leave adhesive residue and small imperfections on the tooth surface. Polishing helps smoothen these areas, reducing the risk of plaque accumulation and making it easier to clean teeth effectively.
- Minimizes Staining: Residual bonding materials and rough surfaces can attract stains, affecting the appearance of your smile. Polishing removes these stains and restores the natural luster of your teeth.
- Prevents Tooth Damage: Rough surfaces can cause friction against soft oral tissues, leading to irritation and potential damage. Polishing ensures that the teeth have a smooth surface, reducing the risk of irritation and discomfort.
- Enhances Aesthetics: Polishing creates a polished, uniform appearance, enhancing the overall aesthetics of your smile and boosting your confidence post-braces.
Process:
- Scaling: Before polishing, your orthodontist may perform scaling to remove any hardened plaque or calculus deposits that have accumulated during the braces treatment.
- Polishing: Using a specialized dental tool, your orthodontist/dentist will carefully polish each tooth surface to remove any remaining adhesive residue and smooth out imperfections.
- Fluoride Treatment: Following polishing, a fluoride treatment may be applied to strengthen the enamel and protect against decay.
- Final Evaluation: Your orthodontist/dentist will evaluate the results to ensure that the teeth are properly polished and free from any residual materials.
Tips for Long-Term Maintenance:
- Regular Dental Hygiene: Maintain a consistent oral hygiene routine, including brushing at least twice a day and flossing daily to prevent plaque buildup and maintain a healthy smile.
- Attend Regular Dental Check-ups: Schedule regular dental check-ups and cleanings to monitor your oral health and address any concerns promptly.
- Use Fluoride Toothpaste: Use fluoride toothpaste to strengthen the enamel and protect against decay.
- Avoid Staining Substances: Minimize consumption of staining substances such as coffee, tea, and tobacco to preserve the brightness of your smile.
- Wear Retainers: Follow your orthodontist's instructions regarding retainer wear to maintain the alignment of your teeth post-braces.
By following these guidelines and maintaining good oral hygiene practices, you can enjoy a beautiful, healthy smile for years to come after the debonding of braces.
DR.NIRANJAN PRABHAKAR